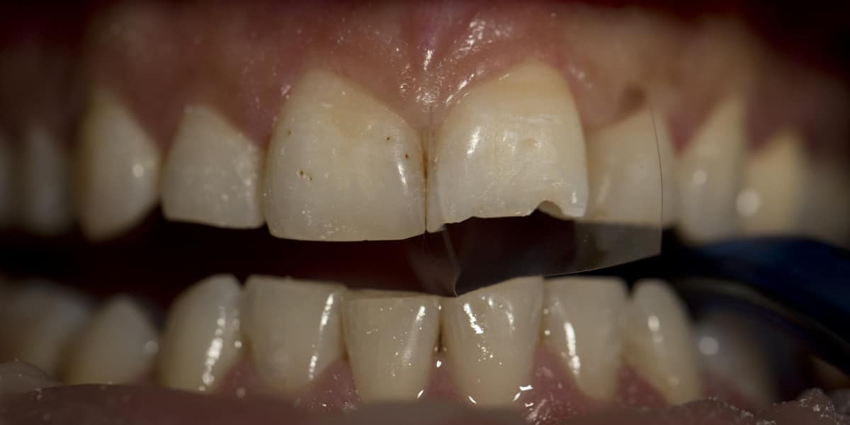
1. Eroze incizní hrany zubu2. Odstranění všech změklých a zabarvených tkání zubu3. Nanesení Etching Gelu4. Výsledná práce – použitý material Admira Fusion Nanohybrid – ORMOCER VOCO – Germany
1. Mnohočetné akutní kazy, vitalita zubů zachována2. Odstraněny všechny kazem destruované tkáně zubů3. Průběžný snímek modelace fotokompozitním materiálem4. Výsledná práce – použitý material G-aenial GC CORPORATION TOKYO JAPAN
1. Esteticky nevyhovující fotokompozitní výplň + nevyhovující endodontické ošetření zubu2. Vchod do kořenového kanálku3. Příprava zubu pro použití kořenového čepu4. Kořenový čep zesílený skleněným vláknem v kořenovém kanálku – Relyx Fiber Post 3M ESPE Germany5. Výsledná modelace , použitý material – Admira Fusion Nanohybrid- ORMOCER VOCO – Germany
1. RVG snímek akutního aproximálního kazu zubu2. Klinický nález akutního aproximálního kazu, je patrná kavitace distálně3. Maximálně šetrnou preparací odstraněny všechny změklé tkáně zubu. Kavita s bombírovanou matricí a klínkem připravena ke zhotovení fotokompozitní výplně Fotokompozitní výplň zubu4. Nanesení Etching Gelu5. Podložení výplně materiálem Ultra-Blend Plus Ultradent Products USA, zmírňuje pooperační citlivost, působí protikazivě a tím dělá výplň dlouhodobě trvanlivou6. Výsledná práce – použitý material Gradia Direkt GC CORPORATION TOKYO JAPAN
Kompletní náhrada všech parodontozních zubůHorní a dolní celková snímací náhrada chrupu