Endodontické ošetření pod kontrolou mikroskopu u složitého kořenového systému

  • Co je endodontie?

    Endodontické ošetření (endodoncie) se zaměřuje na léčbu zubního kazu v pokročilém stádiu, kdy infekce pronikla hluboko do zubu a přechází v závažné poškození zubní dřeně a následně okolních tkání zubního kořene

  • Jaký je princip ošetření?

    Endodontické ošetření spočívá v odstranění infekcí napadených tkání a tím odstranění příčiny zánětu v zubu a okolních tkání, důkladné dezinfekci kořenových kanálků probíhajících kořenem zubu a jejich následném hermetickém zaplnění.

  • Strojová endodontie

    K zaplnění kořenového systému zubu využíváme metodu vertikální kondenzace gutaperči. Jedná se o 3D hermetické plnění kořenových kanálků tekutou gutaperčou BeeFill , (hmotou, která uzavře mikroskopické prostory kořenového kanálku). Před samotným plněním je třeba celý systém kořenových kanálků důkladně chemicky dezinfikovat. Proto je celé ošetření časově náročné. Potřebnou délku kořenového kanálku stanovujeme pomocí apexlokátoru a rentgenu (RTG), samotný kanálek opracováváme strojovou endodoncií  Reciproc VDW GmbH Germany .

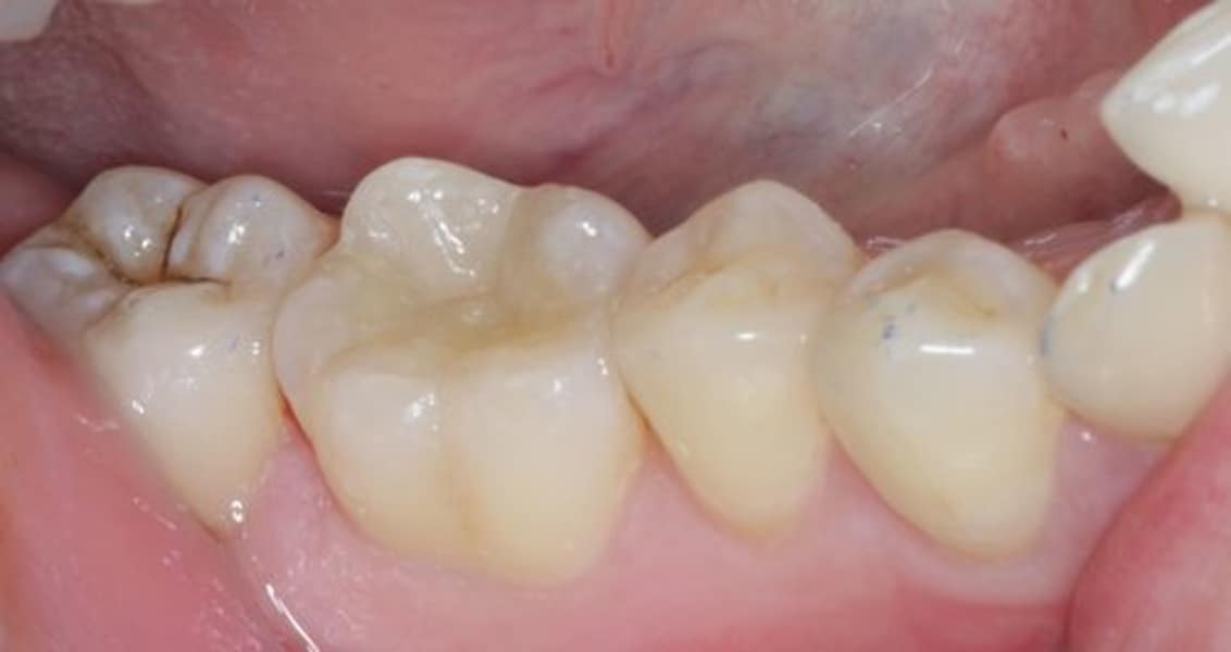
Zub 36 napadený hlubokým kazem pronikajícím do dřeně pod amalgamovou výplní. Pacient může pozorovat pouze váznutí potravy mezi zuby.
Výsledná dostavba výplňovým materiálem Admira Fusion typu ORMOCER , VOCO GmbH Germany
3D hermetické plnění kořenového systému se čtyřmi kořenovými kanálky. Endodonticky ošetřený zub plní dál svojí funkci bez nutnosti extrakce.

U složitého kořenového systému provádíme veškeré kroky pod kontrolou zraku s operačním mikroskopem.

Máte-li podezření, či od zubního lékaře přímo diagnostikované pokročilé stádium zubního kazu, s návštěvou zubní ordinace neváhejte. Včasné a kvalitní endodontické ošetření dokáže postižený zub zachovat.

Cena zákroku se liší v závislosti na složitosti případu.