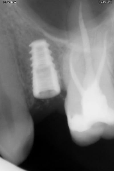
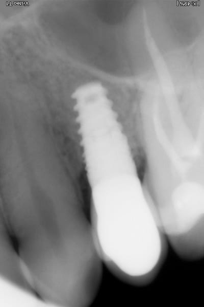
Zubní implantáty
Zdravé zuby plní kromě životně důležitých funkcí jako kousání a žvýkání i funkci estetickou, neboť jsou rozhodující pro celkový výraz našeho obličeje, osobitý šarm a přirozený úsměv. Zdravý stav chrupu je též předpokladem pro bezchybnou výslovnost. Ke ztrátě vlastních zubů může během života dojít z mnoha důvodů. Nejčastějšími příčinami bývá úraz, onemocnění dásní, zubní kaz nebo jiné zánětlivé onemocnění zubu.
Zubní implantát je alternativním protetickým řešením, neboť chybějící zuby lze kromě klasického můstku klinicky vhodněji nahradit zubním implantátem, který splňuje všechny funkce původního zubu a navíc je jeho přirozenou a věrnou kopií, bez nutnosti zbrousit (degradovat) jiné okolní zuby (jako v případě můstku).







